
Lésions ligamentaire
de la cheville
Motif de consultation :
Douleur et gonflement latéral ou médial de la cheville, souvent après une torsion, avec difficulté à marcher.
Objectif de la prise en charge : Réduction de l’inflammation, stabilisation de la cheville, et récupération la mobilité et de la force permettant une reprise normale des activités physiques et sportives contraignantes.

Aponévropathie plantaire
Motif de consultation :
Douleur sous le pied, particulièrement au talon, ressentie au lever ou après une activité prolongée.
Objectif de la prise en charge : Réduction de l’inflammation, étirement du fascia plantaire, et amélioration de l’appui plantaire. Modifications posturales si nécessaire.

Tendinopathie calcanéenne
Motif de consultation :
Douleur à l’arrière du talon, gênant la marche ou les activités sportives, souvent liée à une surutilisation.
Objectif de la prise en charge :
Soulagement de la douleur, activation de la cicatrisation si cela est possible. Optimisation de la charge d’entraînement, et renforcement progressif du tendon.

Fracture de stress d'un orteil ou d'un os du tarse
Motif de consultation :
Douleur localisée ou diffuse dans le pied, exacerbée par l’effort ou une charge excessive et/ou répétée.
Objectif de la prise en charge :
Mise au repos, consolidation osseuse, et reprise progressive de l’activité.

Hallux valgus douloureux
Motif de consultation :
Déformation douloureuse du gros orteil, gêne lors du port de chaussures.
Objectif de la prise en charge :
Soulagement de la douleur, amélioration de la fonction et approche posturale. Et seulement dans les cas sévères, correction chirurgicale.

Névrome de Morton
Motif de consultation :
Douleur ou sensation de brûlure entre les orteils, aggravée par des chaussures serrées ou la marche prolongée.
Objectif de la prise en charge :
Réduction de la compression nerveuse, modification des appuis, et amélioration du confort.

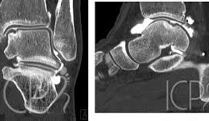
Arthrose et autres lésions ostéochondrales de la cheville
Motif de consultation :
Douleur persistante à la cheville, souvent associée à un gonflement et une sensation d’instabilité ou de blocage articulaire, particulièrement après un traumatisme ou une entorse.
Objectif de la prise en charge :
Réduction de la douleur, préservation de la fonction articulaire, et prévention de la progression de l’arthrose. Approche conservatrice en priorité.

Syndrome du carrefour postérieur de la cheville
Motif de consultation :
Douleur à l’arrière de la cheville, exacerbée par des mouvements en hyperextension ou lors d’activités sportives impliquant des pointes de pied (danse, football). Une gêne mécanique ou un blocage peuvent également être ressentis.
Objectif de la prise en charge :
Réduction de la douleur, amélioration de la mobilité postérieure de la cheville, et reprise progressive des activités en limitant les contraintes mécaniques. Approche conservatrice en priorité.

Fracture du sésamoïde du gros orteil
Motif de consultation :
Douleur localisée sous l’avant-pied, particulièrement au niveau de la base du gros orteil, aggravée par la marche ou la course, et parfois accompagnée d’un gonflement.
Objectif de la prise en charge :
Soulagement de la douleur, amélioration de la fonction de l’avant-pied, et optimisation de la consolidation osseuse, avec immobilisation. Approche conservatrice en priorité.